
A Jones fracture is a break at the base of the fifth metatarsal bone that connects the foot to the pinky toe. Common symptoms of a Jones fracture are bruising, swelling, and difficulty bearing weight or walking. Jones fractures can result from sudden force on the foot's outer side, often occurring during activities such as sports, dancing, or slips. Traumatic events like inversion sprains during sports or chronic overuse, such as prolonged walking or running on hard surfaces, may contribute to these injuries. Risk factors include participation in high impact activities like basketball or soccer, where sudden movements or pivoting are common. People with high arches may also be more susceptible to this type of fracture. Treatment options include casting and surgical intervention, depending on the severity. If you suspect a Jones fracture or are experiencing foot pain and swelling on the outside of the foot, it is suggested that you make an immediate appointment with a podiatrist for a diagnosis and treatment.
A broken foot requires immediate medical attention and treatment. If you need your feet checked, contact Frederick Matthews, DPM from Innovative Foot and Ankle Care. Our doctor can provide the care you need to keep you pain-free and on your feet.
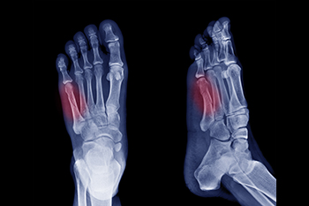
Broken Foot Causes, Symptoms, and Treatment
A broken foot is caused by one of the bones in the foot typically breaking when bended, crushed, or stretched beyond its natural capabilities. Usually the location of the fracture indicates how the break occurred, whether it was through an object, fall, or any other type of injury.
Common Symptoms of Broken Feet:
- Bruising
- Pain
- Redness
- Swelling
- Blue in color
- Numbness
- Cold
- Misshapen
- Cuts
- Deformities
Those that suspect they have a broken foot shoot seek urgent medical attention where a medical professional could diagnose the severity.
Treatment for broken bones varies depending on the cause, severity and location. Some will require the use of splints, casts or crutches while others could even involve surgery to repair the broken bones. Personal care includes the use of ice and keeping the foot stabilized and elevated.
If you have any questions please feel free to contact our office located in Plano, TX . We offer the newest diagnostic and treatment technologies for all your foot and ankle needs.